forskning
Udbredt katteparasit kobles til flere hjernesygdomme hos mennesker
1/3 af verdens indbyggere har parasitten Toxoplasma gondii.

Hvis du ikke er gravid, kender du måske ikke den lille encellede parasit Toxoplasma gondii. Alligevel kan det godt være, at Toxoplasma gondii kender dig. Det skriver Forskning.no, ifølge Videnskab.dk.
Mellem 10 og 20 procent af den norske befolkning er sandsynligvis på et eller andet tidspunkt blevet inficeret med parasitten, og så lever infektionen toxoplasmose i kroppen resten af deres liv. I andre lande er toxoplasmose meget mere almindelig.
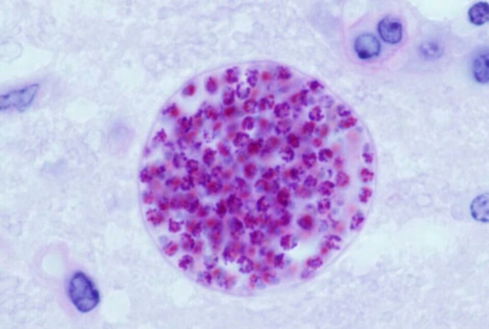
I starten er infektionen aktiv og spreder sig i kroppen, men efter et stykke tid falder den til ro og bliver latent.
Mennesker kan blive smittet af parasitten på to måder: Gennem råt kød, uvaskede grøntsager og frugt eller gennem katteafføring.
Parasitten formerer sig nemlig i kattes tarmsystem, og i katteafføring, der stammer fra en inficeret kat, kan man finde mange millioner Toxoplasmose gondii-sporer.
- Parasitten formerer sig og slår sig ned i kroppens celler, hvor den efterfølgende kapsler sig ind og gemmer sig for immunforsvaret, forklarer Øyvind Øverti, der er biolog ved Veterinærhøjskolen i Oslo og leder af et forskningsprojekt om netop parasitter og hvilke forhold, de lever under.
Forskerne har indtil nu ikke ment, at det gjorde den store forskel, at parasitten lå inde i cellerne. Men adskillige studier i de seneste år indikerer, at det ikke stemmer.
Aktiverer gener kendt fra hjernesygdomme
Forskerne har fundet en sammenhæng mellem at have parasitten latent i kroppen og en øget risiko for at havne i trafikulykker
Toxoplasmose kan også synes at øge risikoen for at begå selvmord
Adskillige studier indikerer desuden, at infektionen kan spille en rolle i udviklingen af forskellige sygdomme og lidelser i hjernen som eksempelvis skizofreni.
I et nyt studie har forskerne nu fundet, at de gener, som parasitten aktiverer, er de samme gener, som er aktive i flere neurologiske lidelser.
Forskerne er overbeviste om, at vi skal til at tage infektionssygdomme med i beregningen, når vi ser på, hvordan lidelser som epilepsi, Alzheimers og Parkinsons opstår.
Toxoplasmose i livmoderen
Hvis du smittet med toxoplasmose, er det ikke sikkert, at du bemærker noget som helst. Enkelte personer får en mild infektion, og personer med svækket immunforsvar risikerer at blive alvorligt syge.
En akut infektion kan behandles med medicin – i modsætning til når parasitten har etableret sig i cellerne, og infektionen er blevet såkaldt latent.
Hvis en gravid kvinde får en toxoplasmose-infektion, bliver hun behandlet. Det kan være meget farligt for fosteret, hvis parasitten overføres til det ufødte barn.
Det kan føre til spontan abort samt give anledning til alvorlige skader på det ufødte barns hjerne, hørelse og øjets nethinde.
Omkring 15 millioner mennesker over hele verden har medfødt toxoplasmose.
Forskerne studerede 246 personer, der blev født med toxoplasmose i 1981, efter at de var blevet smittet af deres mor. Forskerne isolerede de gener, de ved, der kan øge sårbarheden over for visse sygdomme, der rammer nervesystemet.
Efterfølgende fandt de, at de samme gener er aktive i hjerner blandt personer med medfødt toxoplasmose. Forskerne mener, at det indikerer, at toxoplasmose har en finger med i spillet i udviklingen af disse sygdomme hos nogle mennesker.
Du kan læse hele artiklen på Videnskab.dk.
Verdens kraftigste rumraket skal sende sportsvogn i rummet
Sådan spredte dræberbakterie sig over hele verden i løbet af 160 år